Dantų plombavimas
Dantų plombavimas gali būti reikalingas ėduonies pažeistam ar seniai plombuotam dančiui.
Dantų plombavimas – viena dažniausių odontologinių paslaugų, kurios prireikia kone kiekvienam žmogui. Plombomis atkuriami ėduonies pažeisti danties audiniai arba atkuriamos senos ir laikui bėgant nusidėvėjusios plombos.
Bene dažniausiai plombuojami krūminiai dantys – jie patiria didžiausią krūvį kramtant maistą, sąlytis su maistu skatina dantų ėduonies atsiradimą. Tiesa, gydytojai odontologai neretai susiduria ir su priekinių dantų estetiniu plombavimo poreikiu. Jo prireikia norint atkurti nuskilusį dantį, o tai dažnai nutinka dėl įvairių traumų, kandant kietą maistą ar dėl nekontroliuojamo bruksizmo (dantų griežimo) nudilus dantims.
Ėduonis gali formuotis ir sveikame, ir plombuotame dantyje
Pacientas pradžioje pastebi pakitusią danties spalvą, vėliau gali pradėti jausti skausmą valgydamas ir gerdamas šaltus gėrimus. Vos pajutus vieną iš šių požymių, rekomenduojama kuo skubiau kreiptis į gydytoją odontologą.
Mūsų tikslas – kuo anksčiau diagnozuoti dantų pažeidimus ir juos gydyti, išsaugant kuo daugiau sveiko danties audinio.
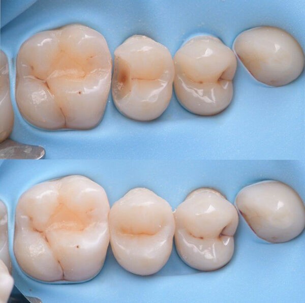
Plombavimas
Plombavimas suprantamas, kaip konservatyvi profilaktinė priemonė, skirta apsaugoti esamą danties nervą nuo galimo pažeidimo ir tolimesnių sunkesnių komplikacijų. Plombavimas atliekamas dažniausiai vieno vizito metu gydytojo kabinete. Įprastai dantys plombuojami šviesoje kietėjančiais kompozitais, rečiau stiklojonomeriniais cementais. Plombuojami tik santykinai nedideles ir vidutines ertmes turintys dantys. Didesnius defektus turinčius dantis rekomenduojama atsatyti protezavimo restauracijomis- įklotais, užklotais, vainikėliais.
Pacientai dažnai susiduria su klausimu – o kada galima valgyti po danties plombavimo? Atlikus plombavimą šviesoje kietėjančia plomba, valgyti galima iš karto. Jeigu procedūros metu buvo taikoma nejautra, vertėtų palaukti, kol baigsis jos poveikis, kad apsaugotumėte minkštuosius burnos audinius nuo galimų traumų kramtant. Bet kokiu atveju, dėl laiko, kiek turėtumėte nevalgyti po procedūros, individualiai konsultacijos metu aptars plombavimą atlikęs gydytojas odontologas.
Kiek laiko galima būti su laikina plomba?
Paprastai laikina plomba dedama tuomet, kai danties gydymui gali prireikti kelių etapų. Jeigu gydomi šaknų kanalai arba atliekamas dantų protezavimas, laikina plomba gali būti tol, kol bus baigtas gydymas. Svarbu atminti, kad laikina plomba turi būti kuo greičiau pakeista nuolatine, kad būtų užtikrintas kokybiškas dantų sugydymas.
Ką daryti, jeigu skauda dantį po plombavimo?
Po plombavimo kurį laiką dantis gali būti jautrus ir skausmingas, todėl reikėtų naudoti dantų pastą jautriems dantims, vengti dirgiklių, kurie dar daugiau išprovokuoja skausmą, nekramtyti labai kieto maisto. Esant būtinybei, galima išgerti skausmą malšinančių vaistų. Jeigu skausmas nemažėja arba nepraeina po kelių savaičių, vertėtų kuo skubiau kreiptis į savo gydytoją odontologą.

- Prieš procedurą plombuojama vieta nuskausminama vietiniais anestetikais.
- Dantis preparuojamas maksimaliai tausojant natūralius ir sveikus danties audinius.
- Plombuojama stengiantis kuo tiksliau atkurti buvusią danties struktūrą.
- Kompozitai tarpusavyje skiriasi daugeliu savybių (spalva, skaidrumu, elastingumu ir t.t.), todėl tik nuo gydytojo profesionalumo priklauso kaip tiksliai bus atkurta danties spalva ir forma.
Plombavimas pagal pavaškavimą
Dar kitaip vadinama- sąkandžio kėlimas kompozitu pagal dantų techniko pavaškavimą. Toks gydymo metodas reikalingas bruksuojantiems pacientams arba tiems, kurių dantų vainikų aukštis yra sužemėjęs dėl įvairių priežasčių. Atliekant plombavimą pagal pavaškavimą prieš tai yra nuimami atspaudai, pagal kuriuos dantų technikas gali vaškuoti būsimų dantų anatomiją, o gydytojas plombuoti.

Kiek kainuoja danties plombavimas, priklauso nuo daugelio veiksnių – tai ir ėduonies pažeidimo gylis, plombinės medžiagos tipas, kiekis, klinikinio atvejo sudėtingumas. Plombavimo metu kartais reikia papildomų priemonių, tyrimų, pvz., nejautros, rentgeno nuotraukos – tai kainuoja papildomai, todėl tikslią procedūros kainą gali pasakyti tik kruopščiai jus apžiūrėjęs gydytojas odontologas.
Dantų plombavimas Vilniuje atliekamas adresu A. Vivulskio g. 7, o Kaune – Kalniečių g. 247. VIC odontologijos klinikose užtikriname ilgalaikius rezultatus ir grąžiname pasitikėjimą savo šypsena.








